앞니공간
30대
2025.02.10
앞니공간
30대
본문
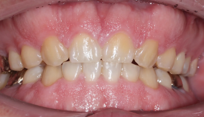
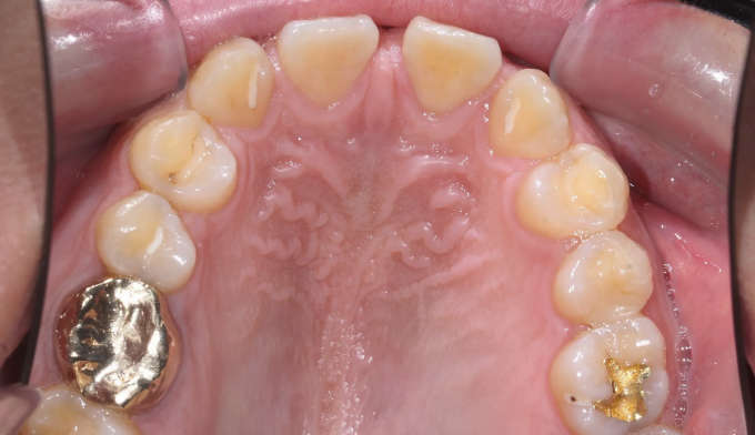
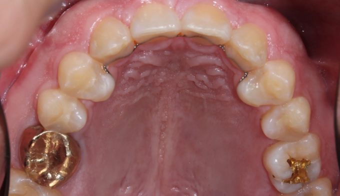
양쪽 앞니가 선천적으로 상실되어 빈 공간으로 인해 나머지 치아들이 벌어져 보입니다. 이런 경우 앞니 사이 공간을 모으면서 뒤로 집어넣는게 아니라, 송곳니를 비롯한 양쪽 어금니를 앞으로 당겨와서 공간을 닫는것이 바람직한 교합을 형성하는데 중요합니다. 빈 공간을 보철로 메우지 않고 이렇게 치아교정을 통해 쉽게 마무리할 수 있습니다.
총 교정기간은 13개월입니다.



