덧니,
돌출입
20대
2025.02.10
덧니,
돌출입
20대
본문
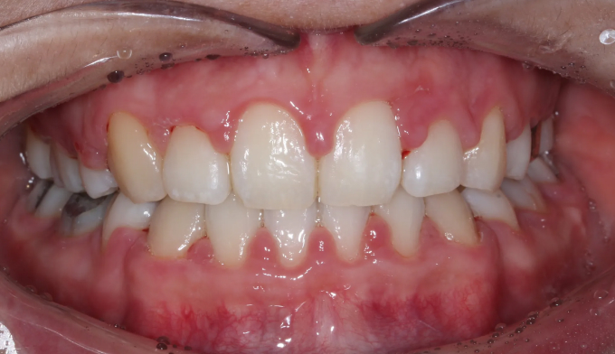
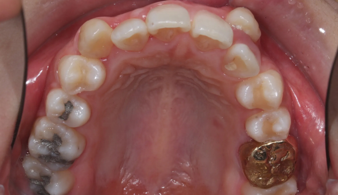
악궁이 좁고 치아의 크기가 커서 공간부족으로 덧니가 생긴 경우입니다.
돌출입과 공간부족이 같이 있고 입술이 두껍기 때문에 발치를 동반한 교정치료로 진행했습니다.
교정 후 덧니가 사라지고 돌출됬던 입술이 후방이동하여 보다 더 자연스러운 입매를 가지게 되었습니다.
교정치료 중 양치가 잘 되지 않아 잇몸이 전반적으로 부어있는것이 조금 아쉽습니다.
총 치료기간은 19개월 입니다.





