불규칙앞니
20대
2025.02.10
불규칙앞니
20대
본문
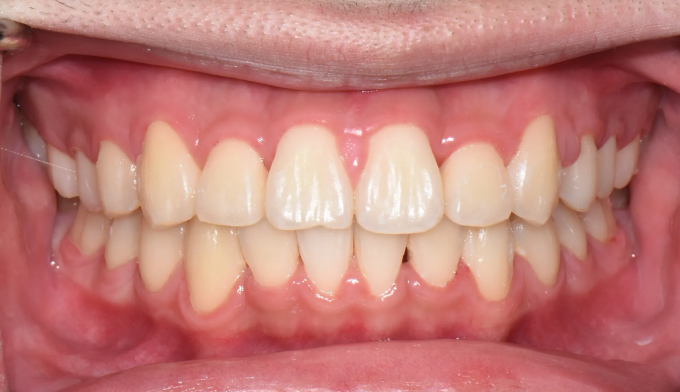
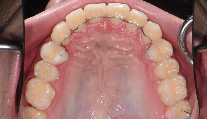
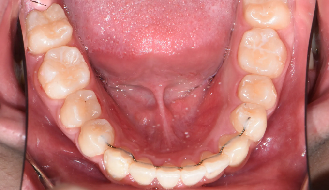
불규칙한 앞니를 교정하기 위해선 공간을 만들어야 합니다.
악궁이 좁은 경우에는 확장치료를, 그렇지 않으면 전체 치아를 후방이동시키거나 치아를 삭제하기도 합니다.
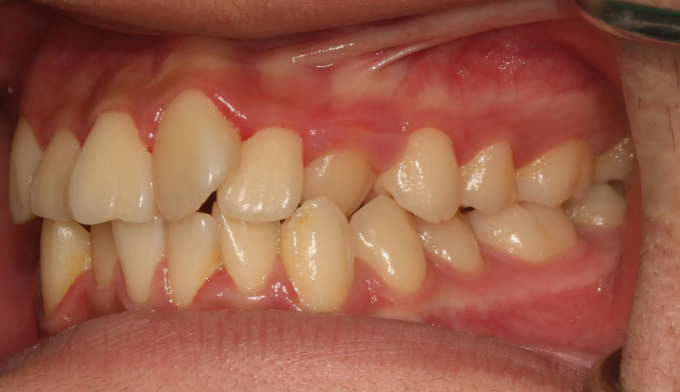
이번에는 악궁이 좁은 경우에 해당됩니다. 그 정도가 심해, 윗니 일부가 아랫니보다 안쪽으로 들어가있습니다.
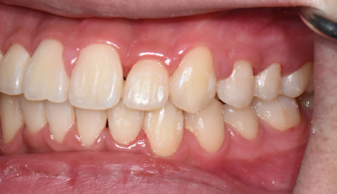
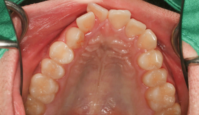
상악확장장치를 통해 악궁을 넓혀주고 치아를 배열해줍니다.
치료기간은 15개월 소요되었습니다.







